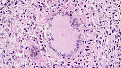
Kansas faces largest tuberculosis outbreak in US history: Health officials
Kansas faces largest tuberculosis outbreak in US history: Health officials
abcnews.go.com
Kansas faces one of the largest tuberculosis outbreaks in US history

Kansas faces largest tuberculosis outbreak in US history: Health officials
Kansas faces one of the largest tuberculosis outbreaks in US history
